herates
03 Okt 2025, 11:57
Hallo zusammen,
ich hatte bereits vor einigen Jahren hier mal Rat gesucht und schaue ab und zu mal rein, könnte aber mal einen aktuellen Rat brauchen.
Ich habe seit mehreren Jahren starke Rückenschmerzen, die anscheinend vor allem durch die Facetten bei L2-4 verursacht werden. Muskulär merke ich das besonders im linken Bereich. Jetzt beim etwas längerem Schreiben merke ich, wie der Muskelstrecker von L3-L5 verspannt.
Ohne Behandlung habe ich inzwischen starke Nervenschmerzen (die bereits mit Palexia behandelt wurden, hat so lala geholfen), die in die Flanken ziehen. Faktisch habe ich auch immer das Gefühl, auf dem Nerv aufzuliegen. So habe ich wöchentlich auch Hexenschüsse beim Vorbeugen.
Das MRT gibt nicht viel her. Alterstypische Arthrose (40). Ein! MRT hat mal eine leicht abgesenkte Bandscheibe bei 3/4 ausgespuckt, sonst sieht alles gut aus. Ein aktiviertes Facettengelenk war das höchste der Gefühle.
Natürlich hatte ich mehrere Facetteninfiltrationen. Mein Problem ist aber, dass die Schmerzen vor allem bei Belastung kommen, die Infiltrationen aber morgens gemacht werden. Der Erfolg war so wenig spürbar. Daher hat es einige Zeit gedauert, bis mal denerviert wurde, was ein auch Erfolg brachte.
Eine endoskopische Denervierung anfang des Jahres L1-S1 war super. Leider hat sie nur 3-4 Monate gehalten. In der Zeit habe ich 8% Muskelmasse zugenommen und soviele Sachen wie in Jahren nicht gemacht. Wenn das länger anhalten würde, wäre alles gut!
Vor 6 Wochen wurde ich bei L3-S1 wieder denerviert (Thermokoagulation). Das Nervenziehen ist weg. Danach hatte ich im oberen Bereich allerdings immer noch Schmerzen, sodass vor 2 Wochen ebenfalls Th12-L3 denerviert wurde (ebenfalls Thermokoagulation). Es ist etwas auch besser geworden.
Des Weiteren habe ich auch ein gereiztes ISG. Das tut nicht sonderlich weh. Es sorgt im Laufe des Tages aber auch dafür, dass die Muskeln sich verspannen, insbesondere im Stehen, sodass ich nicht lang stehen kann. So komme ich zu den Problem, dass die Verödung auch zeitlich immer nicht passend sind, also gleichzeitig sind. So hatte ich im Juni das erste mal eine ISG-Verödung. Das war gut, danach konnte ich mal wieder länger stehen. Zwei Wochen später lies die endoskopische Verödung nach und ich hatte tierische Schmerzen. Jetzt, Ende September merke ich das ISG wieder...
Ausfälle, Kribblen, etc. habe uch zur Zeit nicht. Manchmal, wenn es wirklich schlimm ist, merke ich was im Oberschenkel links, aber das kommt meiner Meinung nach durch die starken Verspannungen der Muskeln.
Ich bin Lehrer und bis meist gegen 2 zu Hause, sodass ich zur Zeit den Rest des Tages mit einem Tens-Gerät rumlaufe, mit Wärme arbeite, etc., wenn ich dann noch arbeite. Dehnen ist mehrmals am Tag Standardprogramm, mit anschließendem Einrenken, sodass ich die Wirbelgelenke wieder an Position bringe. An harten Tagen, dauert das aber auch mal 1-2 Stunden mit Übungen und Dehnen.
Auch wenn ich, auch mit teils unsäglichen Schmerzen, arbeite, ist der Rest des Tages gelaufen. Sozial bin ich bei den meisten Sachen raus, da ich nicht lange stehen kann. Verödungen helfen nur 3-4 Monate, wenn überhaupt. Zur Zeit nehme ich Novalgin 3x täglich, was hilft die Belastungsschmerzen nach hinten zu ziehen. Lange planen kann ich auch nicht, da die Verödungen relativ schnell nachlassen. Quasi war ich dreimal im Urlaub und dreimal kommt der Schmerz zurück und ich liege da, was für das Familienleben auch nicht hilfreich ist. Meine Frau hatte schon eine Burn-Out, weil sie soviel für mich übernehmen muss, wenn es mir mies geht. Es gab Zeiten, da bin ich jede Stunde mehrmals aus dem Klassenraum um mich in einem leeren Raum zu dehnen, weil ich so Schmerzen hatte. Aber zu Hause rumsitzen hilft ja auch nicht. Ich arbeite zur Zeit Teilzeit, damit ich weniger Korrekturen habe, da langes sitzen tödlich ist. Wenn ich meine Zeit nicht so gut einteilen könnte, wäre ich definitiv ein AU-Fall.
Ich war bereits zweimal bei einer multimodalen Schmerztherapie, aber geholfen hat, wenn überhaupt, immer nur die Verödung.
Jetzt kann ich ja nicht alle drei Monate eine endoskopische Verödung vornehmen lassen und weiß grad nicht, wo es hingehen soll.
Ich komme aus dem Schmerzkreis halt nicht raus. Ich halte viel Schmerzen aus, aber die andauernden Hexenschüsse (in den letzten 7 Jahren bestimmt ca. 100) zermürben. Dazu die Nervenschmerzen, die erst seit 2 Jahre dazugekommen sind. Ich würde meinen Arm geben, um die Schmerzen loszuwerden.
Es stand mal im Raum, einen Schmerzschrittmacher einzusetzen. Allerdings frage ich mich, ob der bei meinem Hexenschuss hilft. Vielleicht hat da jemand Erfahrungen? Aus dem Konzept heraus, macht es für mich keinen Sinn, dass der Schrittmacher Schmerzspitzen abfängt. Aber ich sprech das nochmal an.
Nächste Woche habe ich noch einen Termin beim Arzt. Ich frage mich, ob ich mal eine Facettenfusion ansprechen soll?
Der Grund-Schmerz sitzt auch immer mittig. Ich hatte auch mal ein Upright-Mrt, um Baastrup auszuschließen. Ein Rheumatologe hat auch nichts gefunden. Ich habe zwar eine leichte Psoriasis.
Tja, wo soll es hingehen? Mir fehlt ein Plan. Über Rückmeldungen würde ich mich freuen.
milka135
04 Okt 2025, 16:02
Hallo Herates,
ich höre hier eine starke nach vollziehbare Verzweiflung heraus. Bitte, verzeihe es mir das ich meine Gedanke/Lösungen,...
nur aufschreibe ohne sehr viel Empathie. Das ist nicht so, dass die nicht da wäre. Sie würde nur den Text sprengen.
(Ich selbst habe neben primär zuengangelegten Spinalkanal des gesamten Spinalkanals mit wzb.: Rückmarkskompression der gesamten HWS, auch BWS,... noch 2 neurochirurgische Erkrankungen.)
Achja, meine Texte wirken/sind leider manchmal etwas durcheinander
Hast du schon mal über eine stationäre Schmerztherapie nachgeedacht.
Ich selbst nehme zwar auch Palexia ret. (1x100mg seit Dez. 2016) und muss auch sagen. Wenn mich mich meine FC-Gelenke ärgern und ISG-Gelenke ärgern bringt mir Palexia auch nicht viel. Weil, der Hauptanteil meist "nur" ein Verspannungsschmerz ist.
Du solltest dir ein gemischtes Programm (Faszientraining, Mobilisierungstraining, tägl. Übungen, ggf. Aquagymnastik, Fitnesstutio, Entspannungsübungen,...) und natürlich solltest herausfinden. Wann dir Wärme oder auch Kälteanwendungen gut tun.
Dann sind Verödungen/Thermokoagulation immer so eine Sache. Weil, dabei durch Wärme der Nerv XYZ kaputt gemacht wird. Nervenambutation, Nervenverbrennungen - wenn dann die Nerven wieder aufstehen naja.
Dann versuchs lieber mit der Privatleist: Vereisung. Oder Versuchs mit Magnesium ist zumind. Muskelentspannend.
Du kannst natürl. auch nach einen Muskelrelaxtion (Muskelentspannes Medikament vom/beim Arzt) wzb.: Norflex ret.,... fragen. Allerdings ist Norflex ret. kein Muskelrelaxan zur Daueranwendung. Aber gibt auch Muskelrelaxane für die Daueranwendung.
Eben so könnte für dich auch ein Antidepressiva die Lösung bei der Linderung deines FC-Gelenkschmerzen. Weil, AD´s etwas Muskelentspannend wirken und sich auch positiv auf die Psyche auswirken. Wenn es der Psyche besser geht, werden meist auch die Schmerzen weniger. Ja, auch Psychotherapie, Selbsthilfegruppe, Rehasport kann eine Lösung/Baustein sein.
Ob dir 100% ein Schmerzschrittmacher was bringen würde, kann ich nicht abschätzen. Mir wäre schon das Fremdkörperrisiko zu hoch. Mir hat man aber, auch gesagt: "Selbst wenn es bei Ihnen gänge, dann währen Sie nicht wirklich dafür geeignet..."
Warst du schon mal bei einem richtigen Schmerztherapeuten? Und evtl. eine neurochirurgische Zweitmeinung einholen, wenn nicht schon getan.
Evtl. könntest du auch mal deinen Vitamin-D-Spiegel und Vitamin-B12-Spiegel kontrollieren lassen.
Mich hat mein Vitamin B12-Spiegel als Zustand nach meiner Th9/10-OP links am 26.08.2025 in die Hölle geschickt.
Liebe Grüße,
Milka
paul42
05 Okt 2025, 11:24
Hallo herates
Aus meiner Sicht entsteht dein Problem in der Hüftmuskultur.
Für die Hüfte sind drei Muskel zuständig, die die Innen und Außenrotation des Beines steuern.
Psoas major, Illacus und Tensor fasciale latae.
Du schreibst von extremer Verspannung. Durch langes Sitzen, werden diese 3 Muskeln und auch der Pirifomis permanent gedehnt und ohne Aufzustehen in Dauerspannung gehalten.
Jedes WBS Problem hat immer eine muskuläre Dissbalance als Ursache was sich dann auch schleichend an der WBS bemerkbar macht.
Eine Facettenarthrose ohne Verschleiß der BS ist eigentlich schwer möglich.
Eine Fusion der Facetten gibt es nicht, sondern wenn operativ behandelt wird, wird das BS Fach durch einen Platzhalter Cage ersetzt und 2 WBK mit einem Schraubenstabsystem stabilisiert.
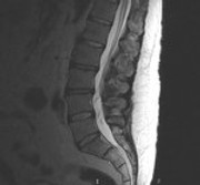
Was in der MRT Aufnahme Juli 2018 auffällig ist, sind die unterschiedlichen Höhen und die Farben der BS.
Je dunkler die BS, desto größer ist der festgestellte Wasserverlust der BS.
Diese Einbuchtungen an den Deckenplatten und hellen Stellen, sind aus meiner Sicht eher ein Hinweis auf Morbus Scheuerman.
Das ist eine Wachstumsstörung durch zu schnelles körperliches Wachstum in Kindheit und Jugend.
Die BWS zeigt auch schon schmale BS Fächer.
Was mir auch aufgefallen ist, dass die Aufnahme einen kl. Versatz von L5 zu S1 zeigt.
Zumindest steht L5 nicht mehr parallel zu S1 und kippt nach dorsal leicht ab
Das deutet auf Instabilität, bzw. Gleitwirbel hin und würde auch erklären, warum Stehen Beschwerden erzeugt.
Ich würde vor der nächsten Spritze erstmal ein Funktionsröntgen machen lassen.
Egal was du zur Schmerzminderung an Medikamenten anwendest, an dem anatomischen Verschleiß lässt sich aus meiner Sicht bei Belastung dadurch nicht viel verbessern.
Je öfter man das anwendet desto geringer wird die Wirkungsdauer.
Zum derzeitigen Zeitpunkt rate ich von einem Schmerzschrittmacher dringend ab, obwohl ich auch weiß dass diese Patienten viel Leid erleben.
Ich würde an deiner Stelle zunächst eher die fachärztliche Zweitmeinung suchen
Viele Grüße
paul42
milka135
05 Okt 2025, 15:47
Hallo Herates,
schließe mich der Antwort von Paul42 an.
Nur bei: Diese Einbuchtungen an den Deckenplatten und hellen Stellen, sind aus meiner Sicht eher ein Hinweis auf Morbus Scheuerman.
Das ist eine Wachstumsstörung durch zu schnelles körperliches Wachstum in Kindheit und Jugend.
Die BWS zeigt auch schon schmale BS Fächer.[QUOTE]
sehe ich noch eine andere/weitere Möglichkeit aus eigener Erfahrung.
Wobei zusagen ist, dass ich mit den FC-Gelenken noch mehr tun hatte. Als meine Bandscheiben noch besser als jetzt waren. Ich führe es auf meinen Trainingszustand heute zurück. Wobei mir auch schon so mancher NC vor 10 Jahren zur Versteifung geraten hat.
Liebe Grüße
Milka
herates
06 Okt 2025, 08:34
Hallo zusammen,
erstmal danke für die Antworten.
Übrigens Entschuldigung, mein Name ist Wolfgang.
Zitat
Du solltest dir ein gemischtes Programm (Faszientraining, Mobilisierungstraining, tägl. Übungen, ggf. Aquagymnastik, Fitnesstutio, Entspannungsübungen,...) und natürlich solltest herausfinden. Wann dir Wärme oder auch Kälteanwendungen gut tun.
Naja, nach 7 Jahren weiß ich ganz gut, was hilft. Aber in 7 Jahren wöchentlich 1-2 hatte ich über 50 x einschießende Schmerzen bzw. Hexenschuss. Offensichtlich komme ich damit nicht weiter.
Code
Muskelrelaxan
Zumindest Orthoton und Mytidin schlagen nicht an/helfen nicht. Das ist wie Gummibärchen schlucken.
Code
Eben so könnte für dich auch ein Antidepressiva die Lösung bei der Linderung deines FC-Gelenkschmerzen.
Hatte ich eine zeitlang schon bekommen. Es hat die Schmerzen gedämpft und ich habe 10 Kg in 3 Monaten zugenommen. Aber die wahre Hilfe war es nicht.
Code
Evtl. könntest du auch mal deinen Vitamin-D-Spiegel und Vitamin-B12-Spiegel kontrollieren lassen.
Ist in Ordnung.
Code
Jedes WBS Problem hat immer eine muskuläre Dissbalance als Ursache was sich dann auch schleichend an der WBS bemerkbar macht.
Tja, was soll ich machen. Ich trainiere und dehne alle Muskelgruppen. Die von dir angesprochenden Muskeln habe ich im Blick. Der Psoas etc. ist aber meiner Meinung nach, und der der Ärzte in Ordnung. Eigentlich sind alle Happy mit meinen Muskeln. Wenn es gut läuft, bin ich der Sehenden unter den Blinden in der Physio.
Code
Was in der MRT Aufnahme Juli 2018 auffällig ist, sind die unterschiedlichen Höhen und die Farben der BS.
Je dunkler die BS, desto größer ist der festgestellte Wasserverlust der BS.
Das ist mir auch aufgefallen und einem! Radiologen, ansonsten hat nie jemand was dazu gesagt. Ich gehe auch davon aus, dass dies die Schmerzverursache ist.
Code
Was mir auch aufgefallen ist, dass die Aufnahme einen kl. Versatz von L5 zu S1 zeigt.
Okay, das ist ebenfalls ein Aspekt, den noch keiner angesprochen hat.
Ich habe nochmal die MRTs bemüht. Ja, jetzt sehe ich das auch, auch wenn es imho nicht viel ist.
Code
Ich würde vor der nächsten Spritze erstmal ein Funktionsröntgen machen lassen.
Wurde schonmal gemacht. Die Bilder habe ich angefügt, ebenso ein upright MRT.
Wie gesagt, mein NC sagt (verkürzt durch mich), ist nichts, müssen wir mit Leben oder einen Neurostimulator einsetzen.
Mein Orthopäde aus dem Wirbelsäulenzentrum hat es jetzt nochmal mit Verödungen versucht.
Samstag morgen war ich einkaufen.... es hat mich 7 Stunden gekostet danach wieder auf die Beine zu kommen... Gestern morgen seit langen schmerzfrei wachgeworden....kurz gestreckt...zack...Hexenschuss.
Deswegen frage ich mich, wo es noch hingehen kann? Die Bilder sehen halt nicht schlimm aus. Konservativ hilft nichts außer Verödungen, die aber nur kurzfristig. Wenn es nur reguläre Schmerzen wären im Sinne von "Ich habe Rücken", damit käme ich klar. Aber diese einschießenden Geschichten und extrem sich verstärkende Schmerzen bei Bewegung....
Naja, ich rede die Woche nochmal mit meinem Arzt und spreche mal einen anderen NC bzw. Schmerztherapeuten an.
Bilder Funktionsröntgen:
