Stefan77
23 Aug 2016, 18:07
Hallo,
sowas kann doch echt nicht sein. Vielleicht sprichst Du wirklich in dem Wirbelsäulenzentrum vor.
Klar kann es verunsichern, aber es kann Dir doch genauso gut geholfen werden bei der Entscheidung wie es weiter geht.
Ich kann Deine Situation so gut verstehen mit Kind und Arbeit. Aber es kam bei mir der Punkt dann auch nach zwei Wochen wo ich es nicht mehr geschafft habe.
Ich habe mich selbst beim ersten Aufenthalt nach einem Tag entlassen weil ich arbeiten gehen wollte! Den nächsten Tag musste ich wieder rein und im Krankenhaus ist noch was nachgerutscht und ich hatte in beiden Beinen kein Gefühl mehr. Ergebnis war. Dass ich innerhalb von 30 Minuten auf dem Tisch lag....
Selbst dann war ich noch so blöde und habe im Krankenbett Arbeitsanweisungen geschrieben.... Und das als Angestellter. Meine Tochter war da gerade 1,5 Jahre alt. Zum Dank wurde ich nachdem ich aus dem KH kam entlassen. Heute sage ich zum Glück. Denn sonst hätte ich ich wahrscheinlich noch immer nicht begriffen dass man nur einen Körper hat.
Wir wussten auch nicht weiter und finanziell wurde es immer schlimmer. Das Haus stand auf der Kippe und das zweite Auto haben wir verkauft und alles runter gefahren.
Meine Frau ist dann Vollzeit arbeiten gegangen und meine Tochter wurde von den Omas betreut.
Was ich Dir sagen will, Gesundheit ist durch nichts zu ersetzen. Und irgendwann kommt der Zeitpunkt automatisch wo man nicht mehr funktioniert.
Leider sehen viele Arbeitgeber die Angestellten nur als eine Zahl X.
Ich wünsche Dir dass sich Deine Situation bald ändert.
Grüße
Stefan
Stefan
Mechanic
24 Aug 2016, 12:40
Hey Stefan. Danke für deine Anteilnahme.
Habe heute die PRT bekommen...Einzige Wirkung schwache beine
Durch Vitamin B bekomm ich gleich noch ein MRT. Mit graut es davor da ich mir schon denken kann das die BS bestimmt die Kauda Fasern bedrängt....Kann man Sowas noch ohne op retten oder eher nicht? Ich mein bin ja schon voroperiert und versteifen will ich nicht...Nur wenn wirklich nichts m3hr geht.
Werde mal berichten was das MRT ergibt später.
Gruß
Mechanic
24 Aug 2016, 19:51
Hallo alle zusammen.
Heutiges MRT ergab das die Bandscheibe immer noch soweit raus ist wie vor 2 Monaten. Also ist nicht weiter gerutscht. Das Narbengewebe ist nur noch schwach auf Kontrasmittel ansprechbar was bedeutet das der Heilungsprozess noch nicht abgeschlossen ist. Einen richtigen berricht bekomme ich erst am montag leider.
Jetzt frage ich mich natürlich warum ich auf einmal diese Missempfindungen und ziehenden Schmerzen im Genital und Blase/Unterleib habe wenn nichts passiert ist laut Bildern?
Wer wäre der richtige Ansprechpartner?
- Neurologe
- Neurochiruge
- Orthopäde
- WS Chiruge
Möchte möglichst eine OP vermeiden und es mit Konservativen Methoden in den Griff zu bekommen falls es geht. Nach 5 Monaten, besteht da noch die Möglichkeit das die BS weiter einschrumpft? Tut mir leid wegen all der Fragerei nur möchte ich möglichst alles tun und in Erfahrungbringen um wie gesagt einer weitern OP zu entgehen.
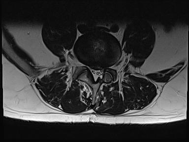
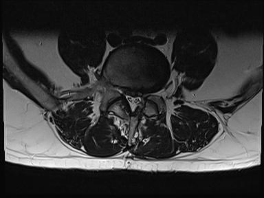
Ich werde mal 2 Bilder der MRT Untersuchung hochladen.




LG
Mechanic
29 Aug 2016, 14:17
Ich muss mich noch mal melden und hoffe auf Antwort.
Also ich war noch 2 mal in einer neurochirugie Ambulanz imkrankenhaus. Mit neuen mrt Bilder. Die Ärzte sagen alle die Probleme mit der blase/ Wasserlassen und Schmerzen im unterleib könnten mich von lw 4 5 kommen.?
Es äußert sich so das ich alle 30 min ca auf Toilette muss und dann nur wenig und schwach was kommt...Kurz pause und dann wieder etwas. Stuhlgang ist finden anstrengend aber geht. Keine Inkontinenz.
Auf dem MRT berricht und Krankenhaus Brief steht:
Kauda frei
Keine lasque Zeichen
Keine pyramidenbahnzeichen
Gangbild und Variationen sicher.
Ein harnwegsinfekt wurde durch den Hausarzt schon ausgeschlossen.
Ich hab nun angst das es ein inkomplettes cauda syndrom ist und mich niemand ernst nimmt? Falls das so ist , ich habe es ja seit 1 Woche ca wären die Schäden falls vorhanden reversibel?
Habt vielen Dank
milka135
29 Aug 2016, 20:02
Hallo Mechanic,
mir persönl. ist es ein Rätsel, wie zu Ärzte zu der Aussage:
Zitat (Mechanic @ )
Die Ärzte sagen alle die Probleme mit der blase/ Wasserlassen und Schmerzen im unterleib könnten mich von lw 4 5 kommen.?
kommen.
Schließl. ist dein Kauda frei.
Syndrom heißt ja, nur, dass die Beschwerden vohanden sind.
Ich weis Schmerzen & Co. sind lässtig usw.
Hol dir bitte, vor einer LWS-OP-Zustimmung einen neurol. Termin!
Ob aller 30 Min. zum WC gehen zwecks Wasserlassen typisch für LWS ist. Weil, ich NICHT.
Da es KEINE Inkontinenz ist. Denke, ich bei dir eher an HWS, BWS und bis L1/2 - Rückenmarkshöhe.
Wie sind den deine Muskeleigenreflexe? Gesteigert, abgeschwächt,...?
Liebe Grüße,
Milka
Mechanic
29 Aug 2016, 20:50
Hallo Milka.
Die Ärzte sagen alle die Probleme mit der blase/ Wasserlassen und Schmerzen im unterleib könnten mich von lw 4 5 kommen.?
mich sollte nicht heißen. also sie schließen es aus.
Ich möchte mich nur ungerne noch mal Operieren lassen aber NC termin ist am 07.09. oder meinst du einen Termin beim Neurologen für Nervenbahn messen wie SEP usw?
Mein Hausarzt mein das die Cauda bedrängt wird und ich deshalb schmerzen im Unterleib und Blase habe aber die Nerven für die muskeln alle funktioniern da meine Blase komplett entleert wird auch wenn nur schwierig. Die schmerzen sind echt schlimm ja. Novalgin und IBU helfen auch nicht wirklich

Reflexe gute frage....meinst du Knie und Achilles ?
Meine die sind abgeschwächt.
Lieben Gruß
Mechanic
bosch1000
14 Sep 2016, 06:55
Guten Morgen.
Wollte mal nachfrage wie es dir geht?
Das mit dem Wasserlassen ist ein echtes Problem das die Doktoren nicht so ganz ernst nehmen es sei den es geht da gar nichts mehr.
Ich bin bei L4 L5 operiert worden und ich bin auch ca alle 30 min zum WC gerannt, das war nach der op weg. ( ich kann jetzt auch mal zehn min warten bis ich auf das WC gehe ohne Problem zu haben, das ging vorher nicht. Das war ein schleichender Prozess immer mal mehr oder auch mal weniger) Mir wurde immer gesagt. : Sie haben drei Kinder, da ist es normal das sie Wasser verlieren.
Die Neurochirurgin war die einzigste die mich ernst genommen hat.
lg bosch
Mechanic
21 Okt 2016, 12:02
Hey mir geht's unverändert.
Immer wieder Schwäche Gefühl in den oberschenkel aber Kraft ist voll da....Ich versuche es jetzt mit physio und Muskelaufbau...
Aber ich vermute das es ne op wird...
Wenn es ein Massenvorfall ist , ist es dann ein sequester?
Wenn ich auf dem Rücken liege im Bett werden oberschenkel außen taub was sich nach dem hinsetzen oder auf stehen wieder gibt...
Das Schwächegefühl macht mir am meisten sorgen.
Die Ncs können sich nicht ganz erklären wieso es so ist bei mir aber dad die bamdscheibe schon ganzschön raus ist aber noch genug liquorwasser da ist das die cauda Fasern frei schwimmen.
Narbengewebe ist da und umschließt den dura Sack was dazu führt das de4 nerven Strang nicht ausweichen kann....
Würdet ihr noch eine op machen oder direkt versteifung?
paul42
21 Okt 2016, 19:43
Hallo Mechanic,
es sieht so aus, als wenn sich bisher keine wirkliche Veränderung entwickelt hat.
Warst du zwischendurch mal beim Neurologen, um die Leistungfähigkeit der bedrängten Nervenwurzeln messen zu lassen?
Das würde auf jeden Fall Sinn machen, um deine Situation besser beurteilen zu können.
Zitat
Wenn es ein Massenvorfall ist , ist es dann ein sequester?
Man spricht nur dann von einem Sequester, wenn sich BS- Material vom eigentlichen Bandscheibenvorfall abgelöst hat, oder abgerissen ist.
Der Sequester ist also BS-Material welches frei beweglich ist.
Ein Massenvorfall ist ein BSV, der sich vorrangig mittig befindet und sich breitbasig nach beiden Seiten lateral also seitlich ausgedehnt hat.
Die Begriffe müssen also deutlich voneinander getrennt betrachtet werden und beschreiben unterschiedliche Zustände, in der Bewertung des eigentlichen Vorfalls.
Zitat
Würdet ihr noch eine op machen oder direkt versteifung?
Die Frage kann dir keiner beantworten. Das ist Sache deiner Ärzte eine Empfehlung auszusprechen.
Du kannst aber durch gezielte Fragen an deine Ärzte versuchen zu erörtern, was in deinen Fall langfristig möglicherweise die bessere Wahl sein könnte.
Die Fragen sollten erst nach der Beurteilung eines Neurologen erörtert werden. Eine zeitnahe EMG Untersuchung halte ich aus meiner Sicht für absolut notwendig um den Status beteiligter Nervenwurzeln beurteilen zu können.
Der von dir beschriebene gefühlte Kraftverlust gibt Anlass zur Vermutung, das hier eine Einbuße in der Leistungsfähigkeit bestehen könnte.
Unter Berücksichtigung des Untersuchungsergebnis muss dann geklärt werden, wie es weiter gehen könnte.
Daraus ergeben sich folgende Fragen:
Lässt der derzeitige neurologische Zustand es zu, weiterhin konservative Maßnahmen zu versuchen?
Wie wird sich die Situation Bestenfalls und Schlimmstenfalls weiter entwickeln?
Wie macht sich der Zeitpunkt bemerkbar, wo es keine Möglichkeiten mehr gibt weitere konservative Maßnahmen zu verfolgen?
Was würde sich bei fortschreitender Verschlechterung, als Procedere einer OP Indikation ergeben?
Macht es Sinn, bei bestehender Bedrängung durch Narbengewebe des BS- Faches L4/L5 nur den BSV operativ zu versorgen?
Mit welchen langfristigen Folgen ist dabei zu rechnen?
Lässt sich durch eine OP das Narbengewebe minimieren?
Lässt der Gesamtzustand der LWS eine Versteifung im Segment L4/L5 zu?
Ist das Segment L5/S1 ausreichend stabil um die Krafteinwirkung einer Versteifung im darüber liegenen Segment kompensieren zu können?
Wie wird sich langsfristig L5/S1 verhalten wenn man L4/L5 versteifen würde?
Selbstverständlich muss auch geklärt, in wieweit sich eine OP auf deine berufliche Situation auswirken könnte.
Mach dir eine Liste mit Fragen die du im Gespräch mit deinem Arzt ab arbeiten kannst.
Ich bin sicher, dir fallen dazu noch einige weitere Fragen ein, die dich beschäftigen.
alles Gute
paul42
Dies ist eine "Lo-Fi"-Version unseres Inhalts. Zur kompletten Version mit mehr Informationen, Formatierungen und Bildern bitte
hier klicken .